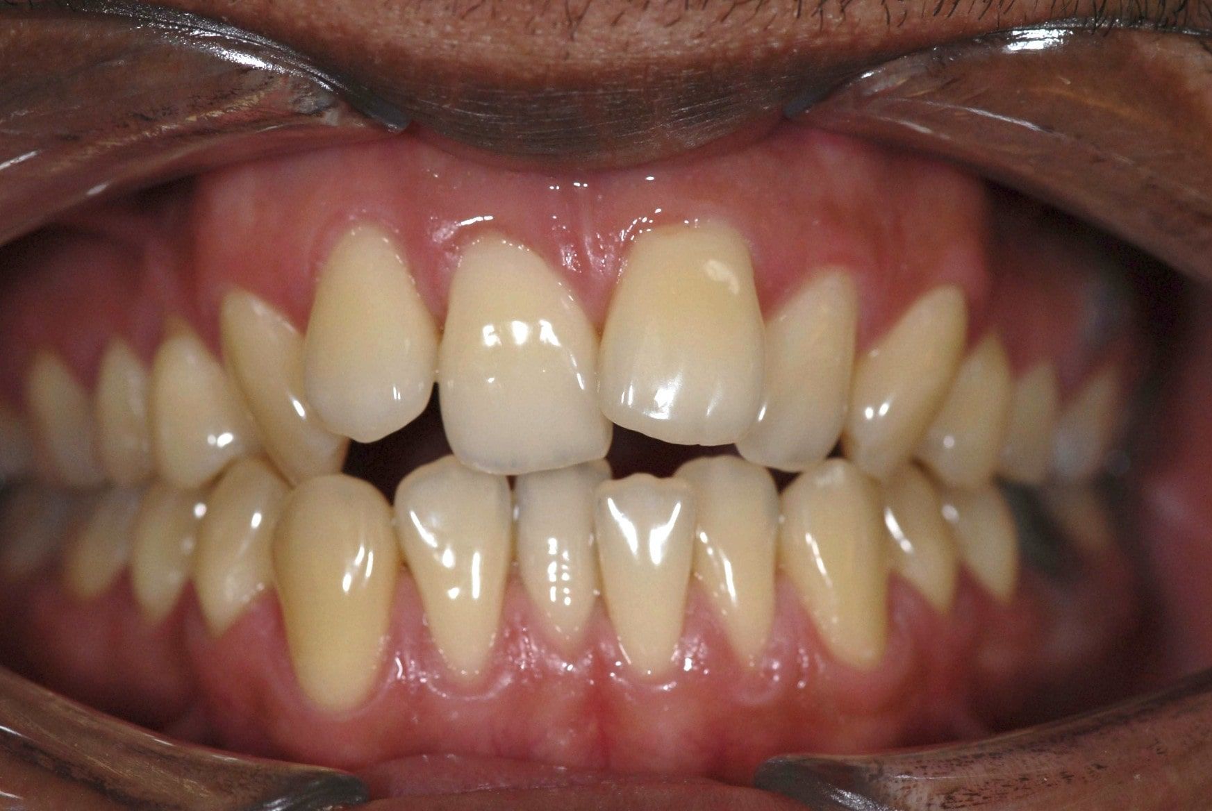
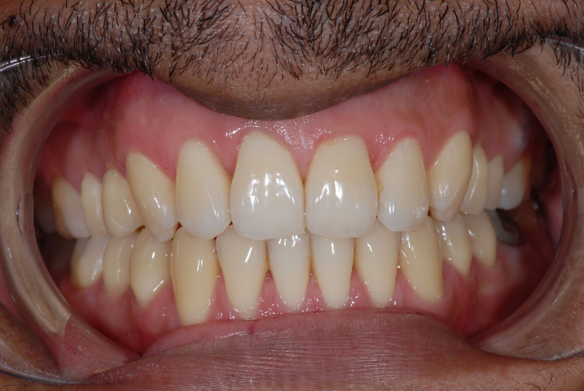
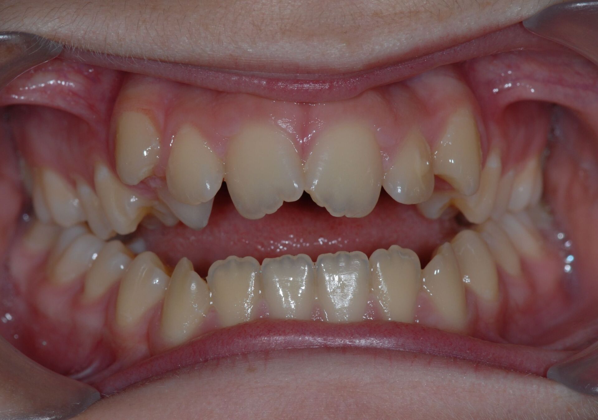
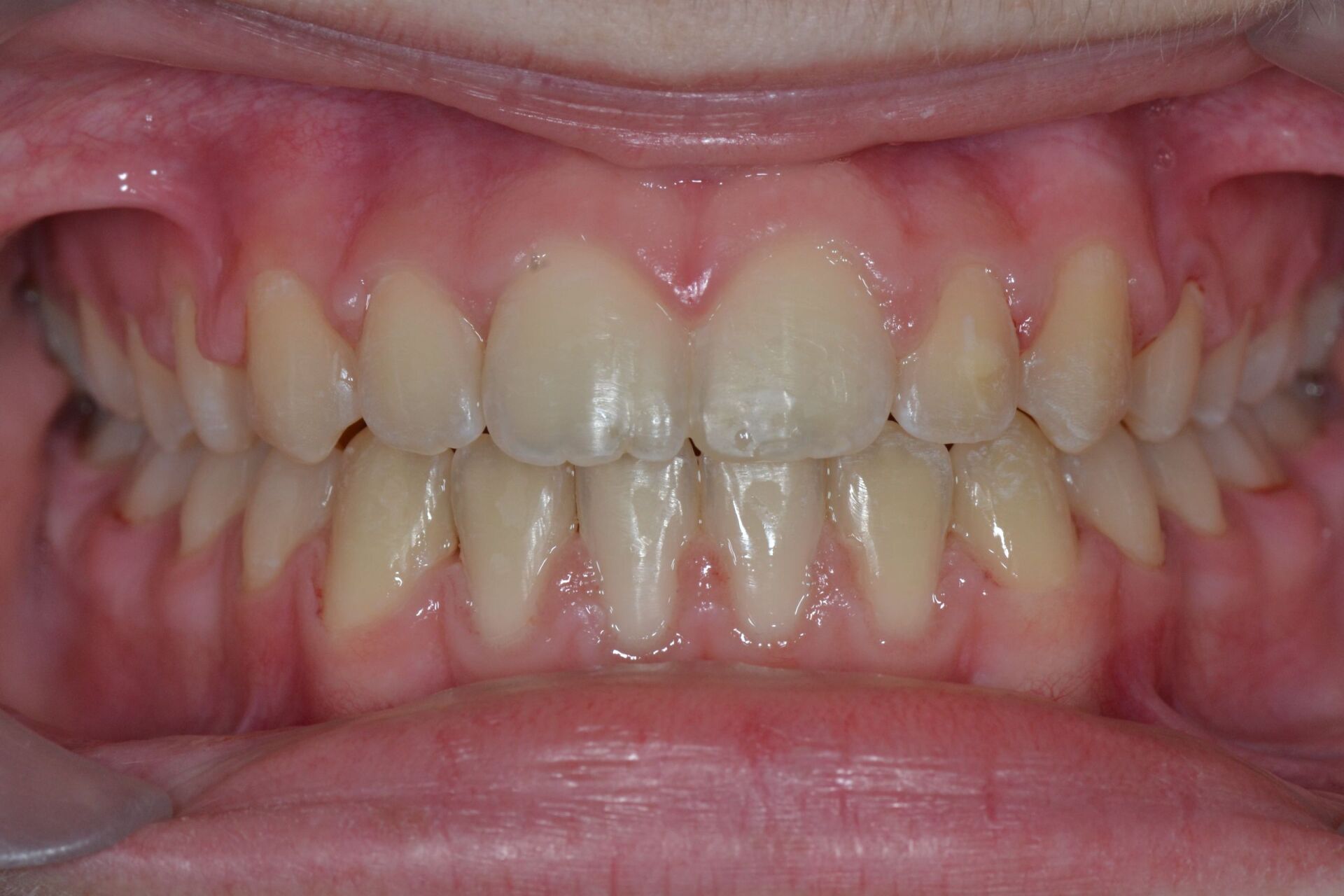
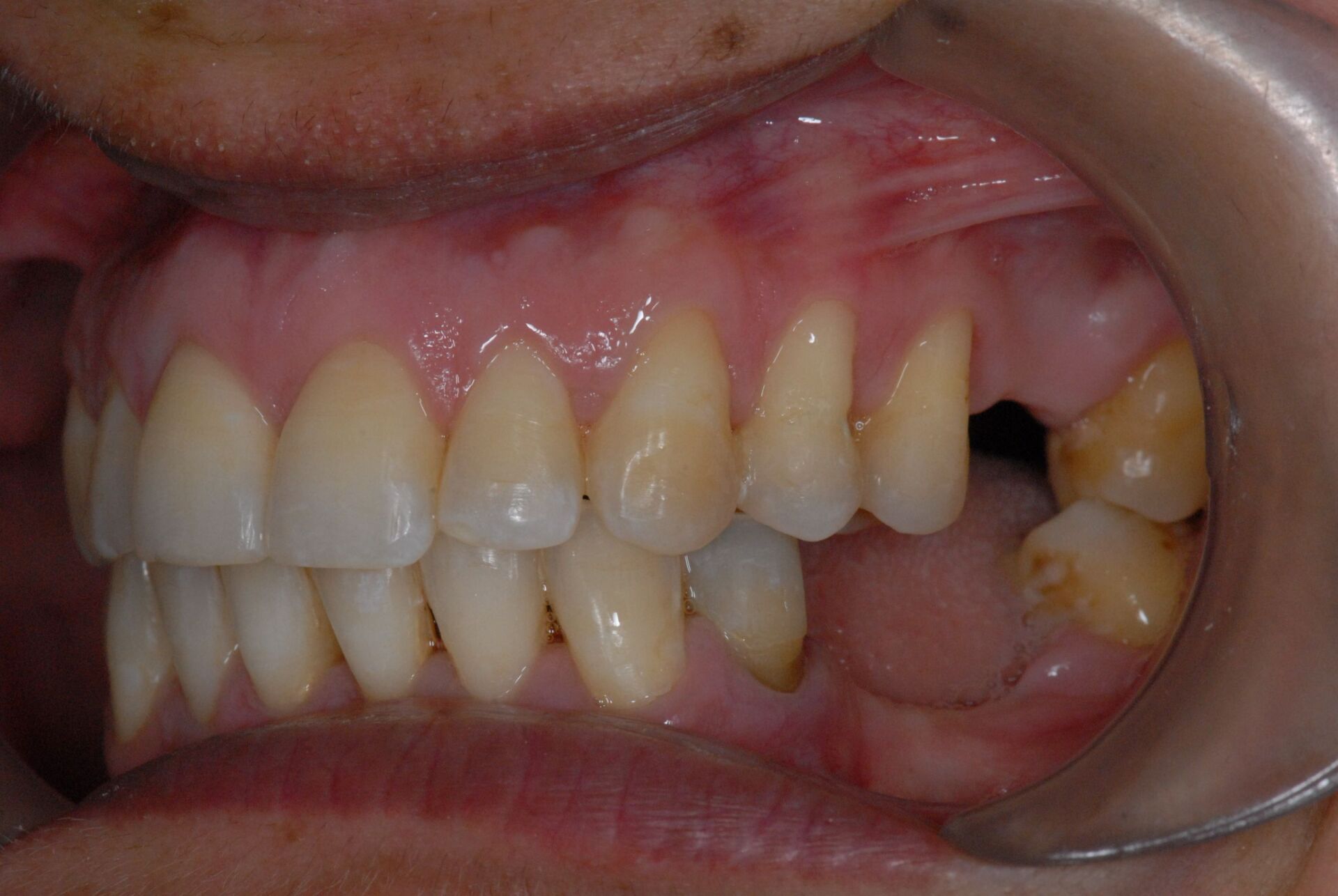
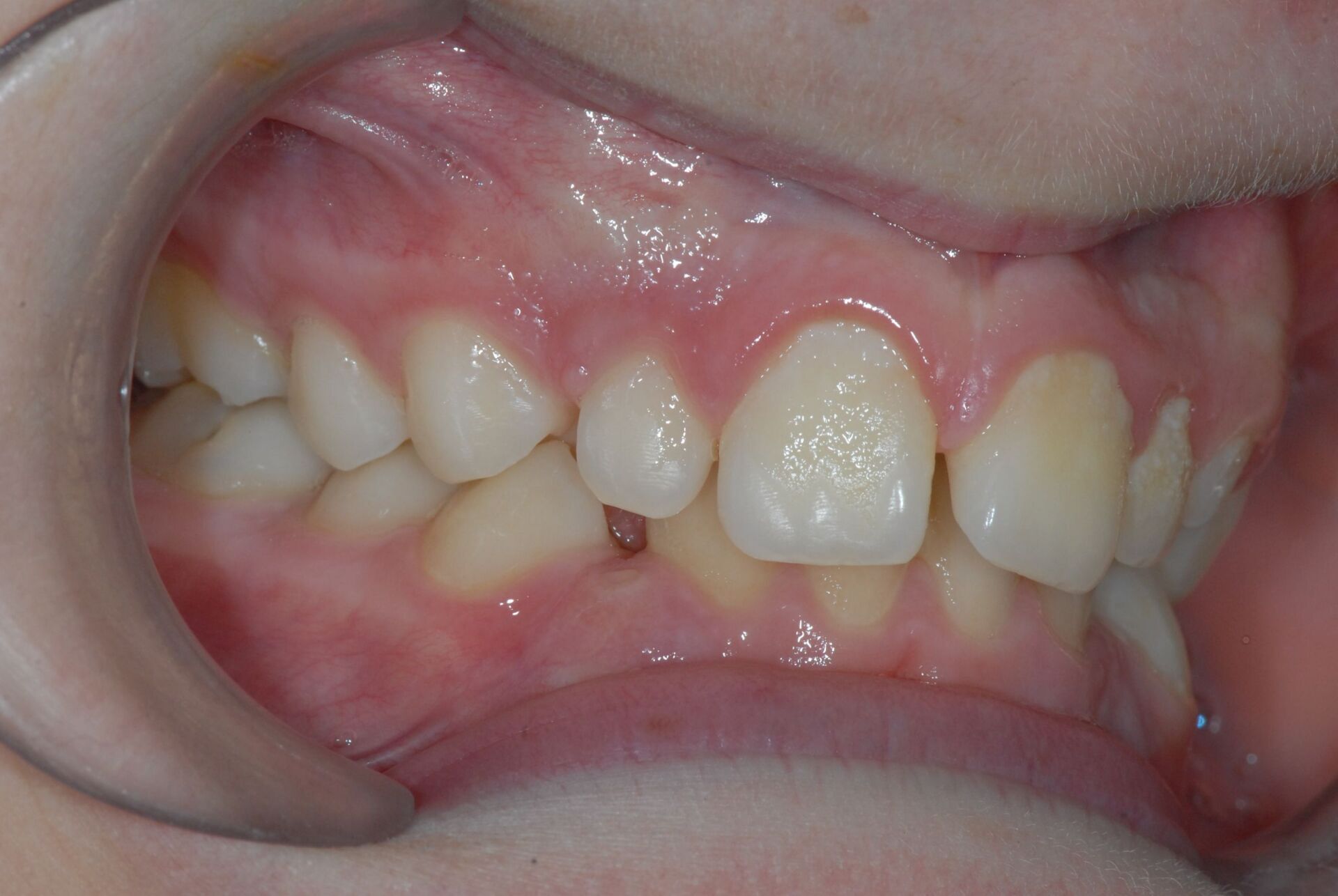
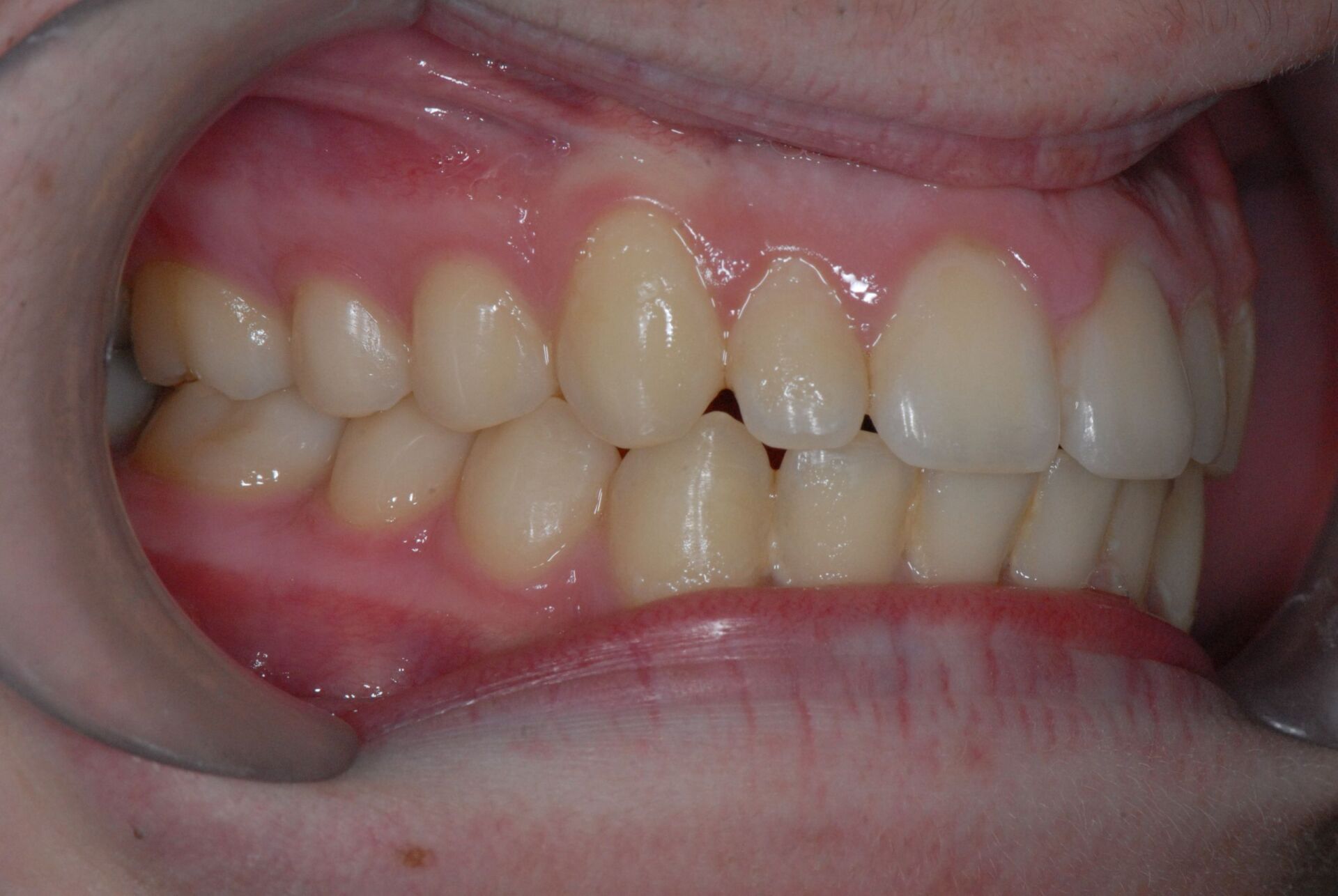
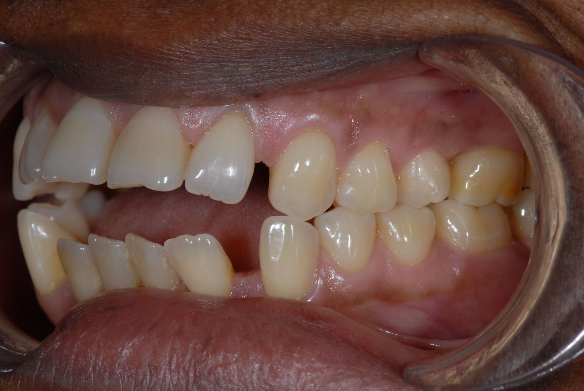
CAS CLINIQUE AVANT/APRES
Quelques cas cliniques rencontrés en orthodontie
Nous vous présentons ici quelques cas que nous avons rencontrés. A titre d'exemple, nous pouvons mentionner le déblocage d'incisives sans extraction. L'alignement des incisives, un traitement impliquant l'extraction des prémolaires, une béance antérieure avec version incisive ou avec mâchoire étroite, un rattrapage de migration dentaire due au déchaussement ou encore une préparation prothétique avec correction verticale.














